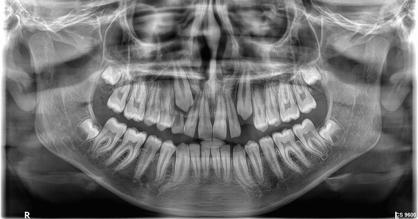
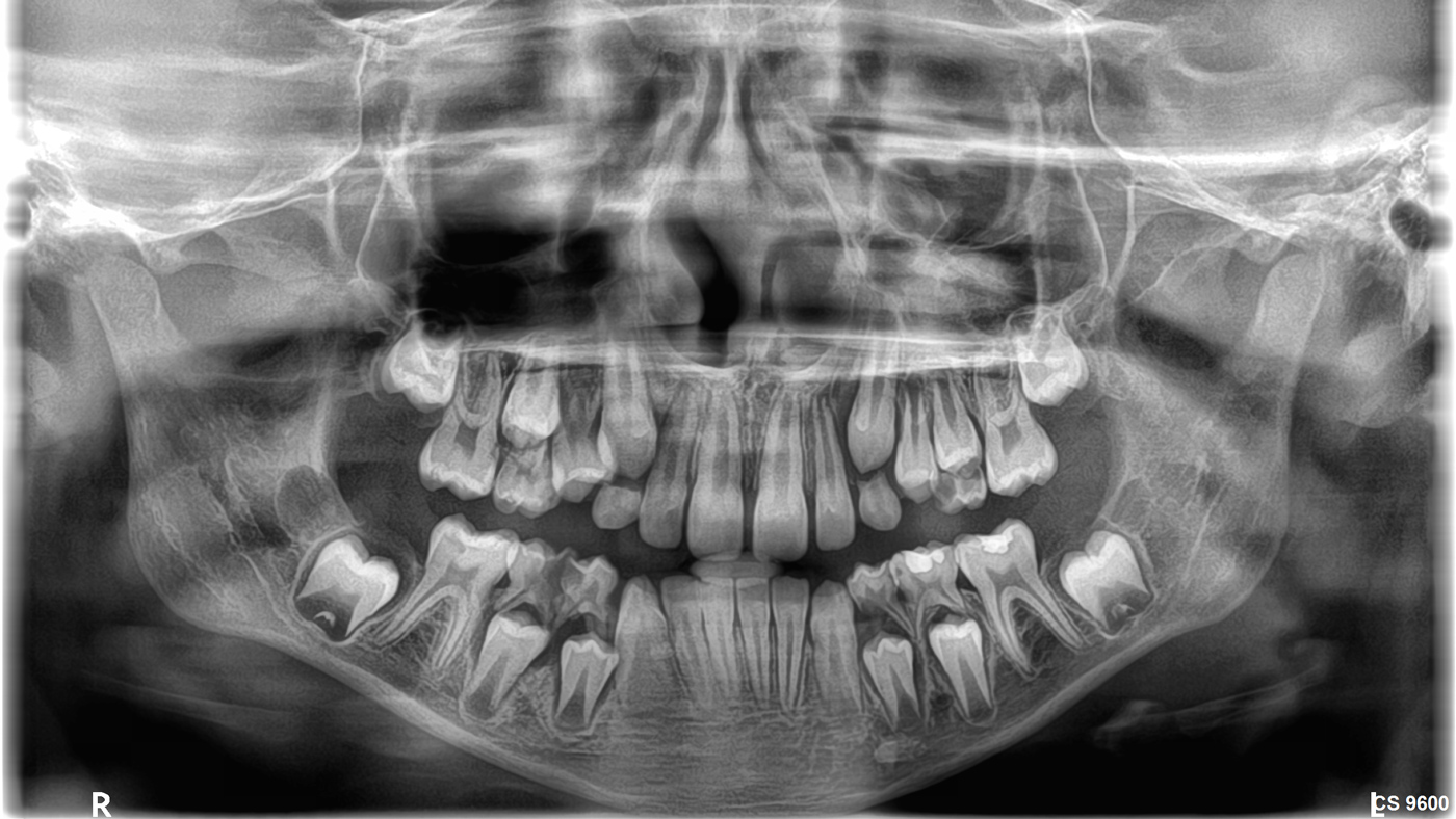
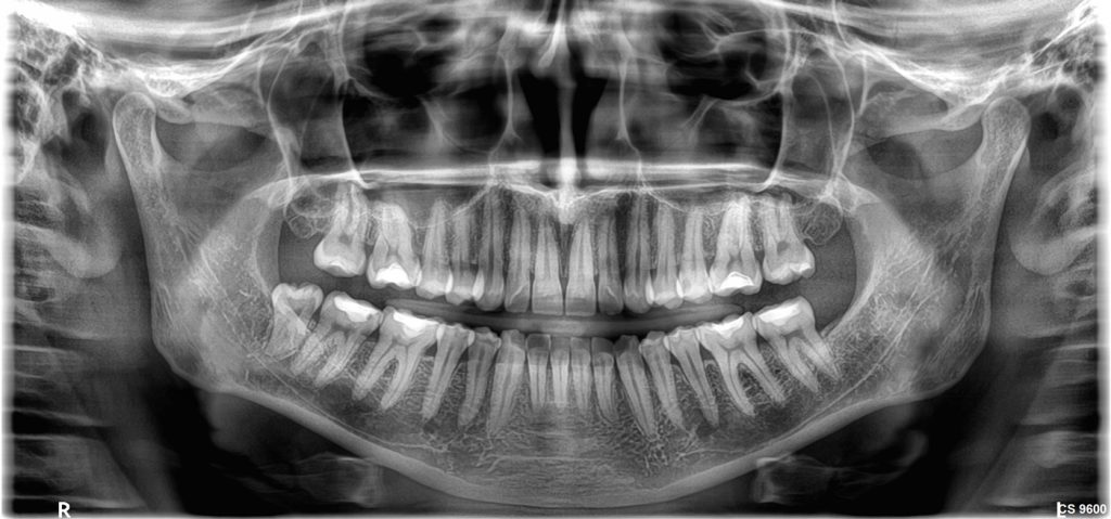
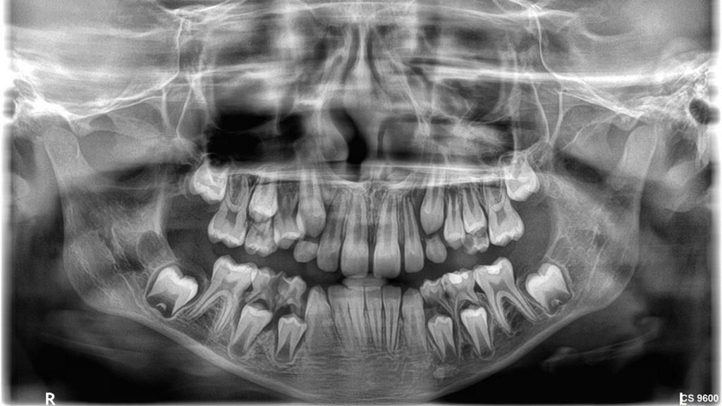
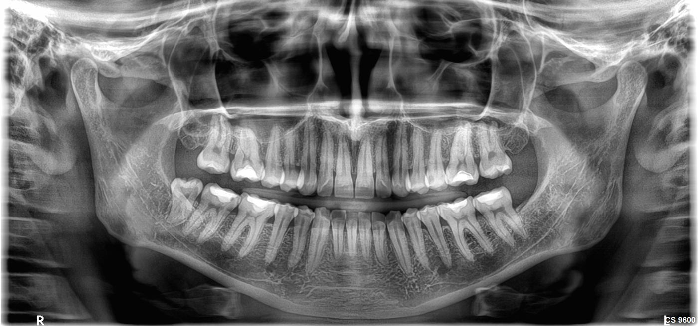
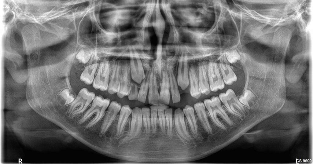
Ψηφιακό Πανοραμικό – Ογκομετρικός τομογράφος
Mοντέλο CS 9600 3D
Το νέο μοντέλο CS9600 της Carestream Dental ανατρέπει τα δεδομένα της ψηφιακής απεικόνισης, καθιστώντας το πιο προηγμένο σύστημα της αγοράς* σύμφωνα με τα βραβεία Cellerant-Best of ClassTechnology Award.
Ογκομετρικός Τομογράφος
Tο σύστημα αυτό, αποτελεί μια ολοκληρωμένη λύση για Διαγνωστικά κέντρα, Νοσοκομεία και Οδοντιατρεία, καθώς συνδυάζει σε ένα μηχάνημα:
- Oγκομετρικό τομογράφο – CBCT (3D) πολλαπλών οπτικών πεδίων, αξεπέραστης ποιότητας εικόνας.
- Άριστη ψηφιακή Πανοραμική ακτινογραφία (2D).
- Άριστη ψηφιακή Κεφαλομετρική ακτινογραφία (2D). (προαιρετικό)



