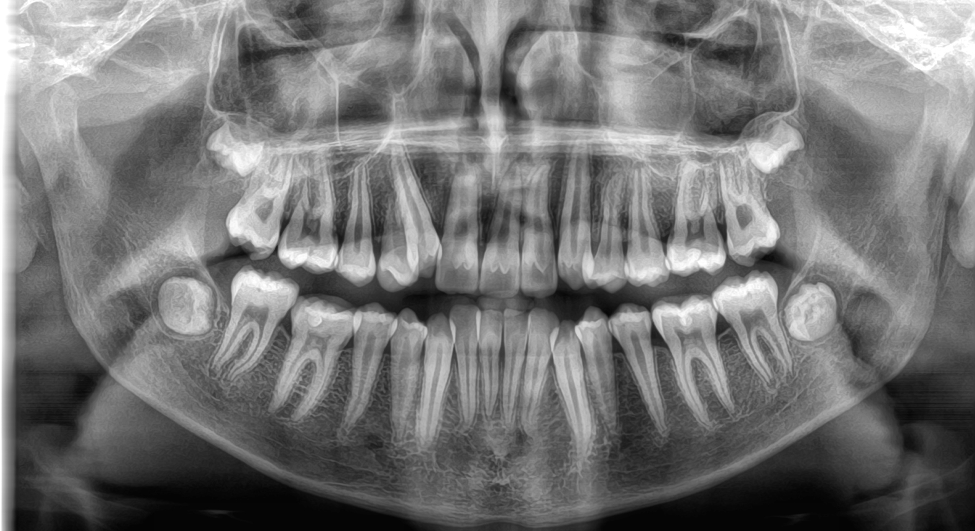
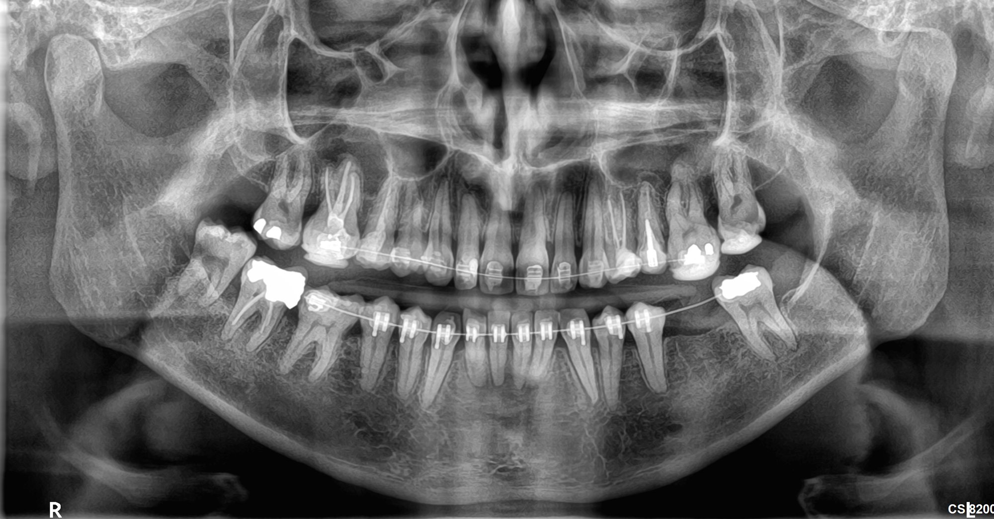
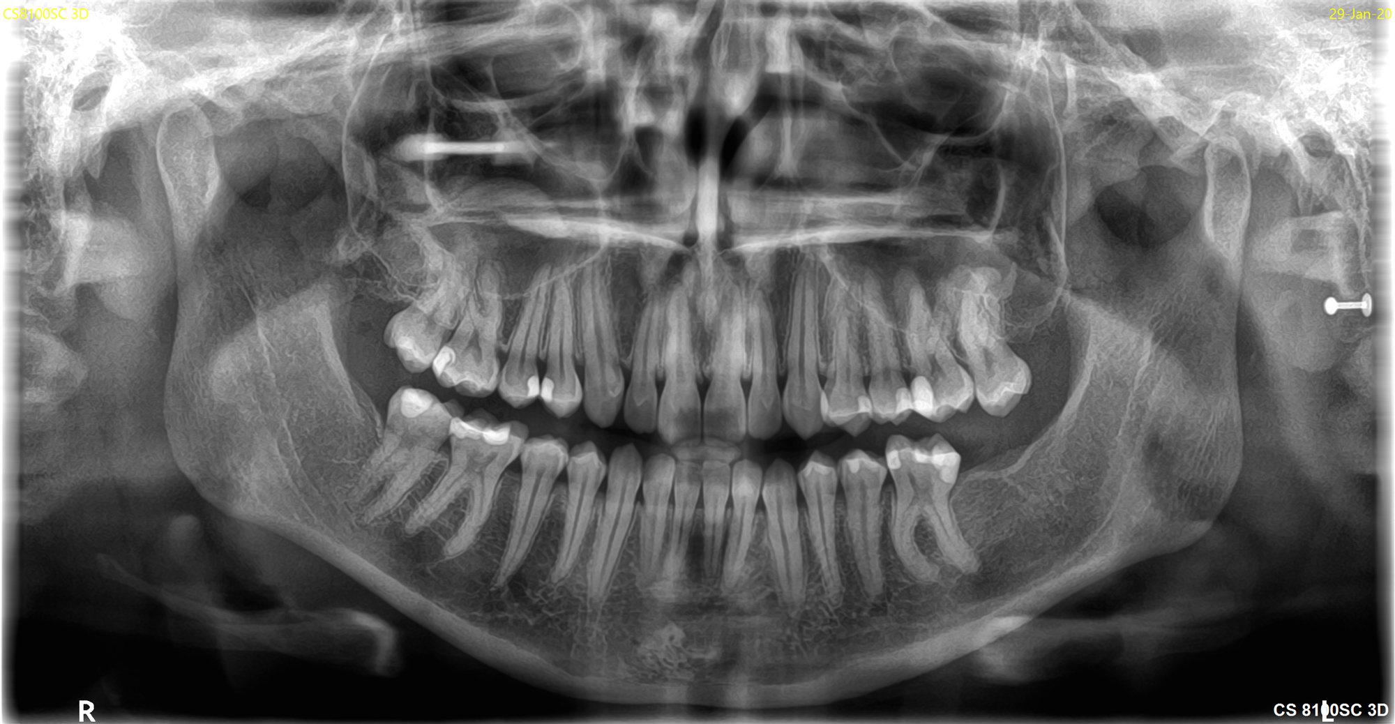
Ψηφιακό Πανοραμικό – Ογκομετρικός τομογράφος
Mοντέλο CS 8200 3D Neo Edition
Το νέο μοντέλο CS 8200 3D Neo Edition της Carestream Dental συνδυάζει Ψηφιακή Πανοραμική με Ογκομετρικό Τομογράφο CBCT, με επιλογή εννέα οπτικών πεδίων και ανάλυση έως 75μm.
Το νέο αυτό μοντέλο αποτελεί την εξέλιξη του ιδιαίτερα πετυχημένου μοντέλου CS 8100 3D.
Με νέο εύχρηστο λογισμικό και ακόμα μεγαλύτερες δυνατότητες όπως το CS MAR, αλγόριθμος NAR, ανατομικά φίλτρα Endo, Perio,τεχνολογία Tomosharp, το καθιστούν ως το πιο κατάλληλο μηχάνημα για Οδοντιατρεία και Διαγνωστικά κέντρα καλύπτοντας όλο το φάσμα των απεικονίσεως οδοντογναθοπροσωπικής περιοχής με πεντακάθαρες εικόνες.


